Poison-hacking
Sammlung von Fakten zu Amalgam in den Zähnen.
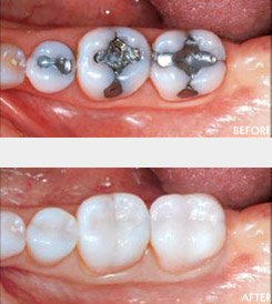
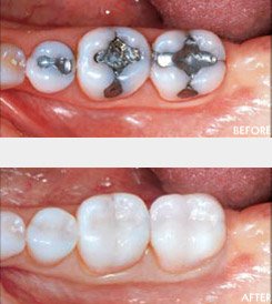
Zahlreiche Studien belegen, dass das Zahnfüllungsmaterial Amalgam krank machen kann. Dennoch behaupten Wissenschaftler des Robert Koch-Institutes in einer neuen Stellungnahme, es gäbe hierfür "keine überzeugenden wissenschaftlichen Belege". So werden weiterhin viele Zahnärzte ihre Patienten mit Quecksilber abfüllen, dem giftigsten nichtradioaktiven Element auf unserer Erde.
Allein in Deutschland werden, Schätzungen zufolge, immer noch 10 bis 15 Tonnen davon pro Jahr verwendet.
Rund 30 Prozent aller Zahnfüllungen in Deutschland bestehen Schätzungen zufolge aus Amalgam. Das wiederum enthält zur Hälfte Quecksilber. Doch was passiert eigentlich mit dem „gefährlichen Abfall“, wenn Füllungen ausgetauscht oder Zähne extrahiert werden? Und wie können Zahnarztpraxen alles sicher und korrekt entsorgen? Die 56-jährige Entsorgungsberaterin Petra Reicks, die für die Remondis Medison GmbH mit Sitz in Lünen arbeitet, liefert die Antworten im Interview mit DZW-Redakteurin Evelyn Stolberg.
Amalgam wird als „gefährlicher Abfall“ eingestuft. Warum? Und was macht gefährlichen Abfall aus?
Petra Reicks: Das Gefährliche im Amalgam ist natürlich das darin enthaltene Quecksilber. Wer es genau wissen möchte, kann im Kreislaufwirtschaftsgesetz, kurz KrWG nachlesen, was nach deutschem Recht in Paragraf 3, Absatz 5, als gefährlicher Abfall einzustufen ist. Genau genommen verweist das KrWG auf das deutsche AVV. Hier sind alle Abfallschlüssel aufgeführt und als gefährlich oder nicht gefährlich aufgeführt. Für gefährliche Abfälle existieren spezielle Entsorgungswege und -verfahren. Diese gewährleisten eine sichere und umweltverträgliche Zerstörung der enthaltenen Schadstoffe.
Auf welche Weise gelangt der Amalgam-Abfall aus Zahnarztpraxen zu Ihnen?
Reicks: Die Remondis Medison GmbH ist ein Entsorgungsfachbetrieb, der von der Dekra jedes Jahr zertifiziert wird. Die Zahnärzte, die mit uns einen Entsorgungsvertrag geschlossen haben, können sich telefonisch bei uns melden. Wir haben eine eigene Fahrzeugflotte, die bundesweit nach Terminvereinbarung volle Behälter abholt und gegen neue austauscht. Leere Behälter verschicken wir an neue Kunden auch per Post.
Worauf müssen die Zahnarztpraxen bei der Lagerung achten?
Reicks: Um das Amalgam in der Praxis sicher aufzubewahren, bieten wir drei verschieden große Behälter an. Der kleinste mit einem Volumen von 0,5 Litern ist für die Entsorgung von Amalgam-Überschüssen und Amalgam aus extrahierten Zähnen gedacht. Dann gibt es den 1-Liter-Sammelbehälter, der für leere Amalgam-Kapseln vorgesehen ist. Im großen 6-Liter-Behälter können Zahnarztpraxen die Rückstände aus Amalgam-Abscheidern und Filtersieben bis zur Abholung aufbewahren. Auch die Filter aus den Absauganlagen können sie darin entsorgen. Wichtig ist, dass die Behälter nicht in der Nähe von Wärmequellen wie Heizungen stehen oder der direkten Sonneneinstrahlung ausgesetzt sind. Außerdem muss das Amalgam in den fest verschlossenen Behältern mit ausreichend Leitungswasser bedeckt sein, da es bei Raumtemperatur ausdampfen kann. Das steht auch alles auf den Aufklebern auf den Behältern, neben unserem Namen und unseren Kontaktdaten.
In den Filtersieben von Amalgamabscheidern sammeln sich gefährliche amalgamhaltige Schlacke und Reststoffe. Worauf sollten Zahnarztpraxen achten, wenn sie diese reinigen?
Reicks: Eigentlich sollten Zahnarztpraxen die Filter gar nicht reinigen. Dabei könnte das Quecksilber ausdampfen, wodurch wiederum gesundheitsgefährdende Dämpfe entstehen. Deshalb sind die meisten Filtersiebe auch nur für den Einmalgebrauch gedacht. Wenn es in Ausnahmefällen unverzichtbar sein sollte, muss man dringend darauf achten, dass die Reinigung ausschließlich über dem Speibecken erfolgt, weil dort der Amalgamabscheider angeschlossen ist. Nur so kann verhindert werden, dass die gefährlichen Schadstoffe in den regulären Wasserkreislauf gelangen.
Wie verwerten Sie das Amalgam, das Wertstoffe wie Silber, Zinn und Kuper enthält? Und was passiert mit dem Quecksilber?
Reicks: Remondis Medison hat die entsprechenden Nachweise zur Zwischenlagerung beziehungsweise Entsorungsnachweise, um Amalgam zunächst hier bei uns zu lagern. Wir selbst verarbeiten sie aber nicht, sondern liefern die Metalle an Scheideanstalten. Die Scheideanstalt verwertet das trockene edelmetallhaltige Pulver, das aber kein Quecksilber mehr enthalten darf. Das Quecksilber wird vorher bei der Remondis QR GmbH in einem vakuumthermischen Prozess abgetrennt. Es wird zum Beispiel an produzierende Firmen geliefert, die es zur Leuchtstoffröhrenherstellung benötigen.
In Deutschland scheint alles geregelt zu sein. Wie sieht es im Ausland aus?
Reicks: Seit dem 17. Mai 2017 gibt es eine neue EU-Quecksilberverordnung. Darin steht, dass ab 2019 Amalgam nur noch in verkapselter Form verwendet werden darf. Außerdem ist der einzelne Zahnarzt für die Entsorgung verantwortlich, die ab dem Zeitpunkt nur noch über zertifizierte Entsorger erfolgen darf. Vieles davon gilt in Deutschland bereits, andere Länder werden zum Teil nachziehen müssen.
Artikel von: Evelyn Stolberg
https://www.dzw.de/zahnmedizin-und-entsorgung-gefaehrlicher-abfall-amalgam
Umweltbelastung durch Quecksilber in Leichen
Während fast alle Implantate weitgehend unproblematisch sind, da diese sich im Körper und somit auch der Umwelt inert (inaktiv, untätig, Anm.) verhalten, ist die Umweltbelastung durch Quecksilber ein großes Problem.
In Österreich wird das Gesamtinventar an Quecksilber in Zahnplomben auf 18 Tonnen in der Bevölkerung geschätzt (Umweltbundesamt 2009).
Bei 77.000 Toten pro Jahr entspricht dies ca. 40 Kilogramm Quecksilber, die über Krematorien in die Luft emittieren, und 160 Kilogramm, die über die Erdbestattung in den Boden gelangen und somit sowohl das Grundwasser als auch die Luft gefährden.
In Österreich ist Quecksilber aus dem Amalgam des Dentalbereichs eine der Hauptquellen, wo hingegen in Deutschland die Kohleverbrennung die größte Emissionsquelle darstellt.
Da von den zehn Krematorien in Österreich nur drei über Filteranlagen verfügen, stellt dies eine Umweltproblematik dar, die durch technische Nachrüstung, einheitliche Grenzwerte sowie Messungen besser kontrolliert werden sollte.
Im Prinzip ist es so, dass Amalgam seit über 170 Jahren in sehr grosser Menge in Millionen von Menschen eingebracht wird. Das Meiste davon ist in die Umwelt gelangt. Heutzutage wird sogar so viel Amalgam eingesetzt wie noch nie in der Geschichte der Menschheit, obwohl sich viele Menschen in der EU und den USA aus gesundheitlichen Gründen kein Amalgam mehr einsetzen lassen. Aber in Dritte- Welt-Ländern und Zweite-Welt-Ländern wie China ist die Kariesrate sprunghaft angestiegen, seit dort auch westliche „Lebensmittel“ mit oft extrem hohem Zuckergehalt und wenig Nährstoffen Einzug erhalten haben. Die Leute trinken Cola, essen Produkte mit Auszugsmehl und bekommen Löcher in den Zähnen, was dort seit Jahrtausenden nur selten der Fall war.
Na, ja, in diesen ärmeren Ländern füllt man die Zähne vornehmlich mit Amalgam, weil das billiger und einfacher ist. In China leben 1,2 Milliarden Menschen. Insgesamt wird bei über einem Drittel der Menschheit in ansteigendem Masse Amalgam eingesetzt. Die Zahnärzteorganisationen, zum Beispiel die amerikanische Zahnärztegesellschaft (American Dental Association, ADA), besitzen sogar Patente für Amalgammischungen. Das heisst, sie verdienen daran.
wenn ein Amalgamträger stirbt, setzt er auf dem Friedhof oder im Krematorium oft tödliche Dosen von Quecksilber frei. Drei Gramm gelten für einen Menschen als tödlich, aber auch 300 Milligramm können schon tödlich sein, je nach individueller Entgiftungsleistung. Mehr als drei Gramm haben sie schnell im Mund, wenn sie mehrere Füllungen haben. Wenn der tote Körper mit seinen drei Gramm Amalgam im Mund dann verbrannt wird, wird das Quecksilber in die Luft gestossen. Es ist nur mit grösstem Aufwand möglich, Quecksilber auszufiltern, weshalb es von den meisten Krematorien weltweit ungehindert in die Luft geblasen wird.
In der EU gelangen wohl pro Leiche im Schnitt bis über zwei Gramm Quecksilber in die Umwelt – und das ist viel. Über die Luft wird das Quecksilber global verteilt, da Quecksilber, im Gegensatz zu anderen Schwermetallen, verdampft. Das Quecksilber aus China landet deshalb auch bei uns. Das hat auch die EU erkannt, weshalb sie das Ziel hat, die Anwendung und den Export von Quecksilber zu verbieten.
Wenn verstorbene Amalgamträger auf dem Friedhof bestattet werden, wird das Amalgam auch nach einer gewissen Zeit frei. Es verdampft oder gelangt ins Grundwasser, in die Flüsse, in die Fische, in den Nahrungsmittelkreislauf und damit zurück zu uns. Hinzu kommt, dass auch lebende Amalgamträger Quecksilber-Dämpfe ausatmen und Quecksilber-haltigen Stuhl und Urin ausscheiden.
Nach einer Studie dürften etwa 20 Prozent aller Amalgamträger nicht mehr spucken, da ihr Speichel wegen zu hoher Quecksilbermengen als Sondermüll gilt. Nach einer anderen Studie dürften ein Grossteil der Amalgamträger ihren Speichel nicht schlucken, da der Grenzwert für Trinkwasser überschritten wird.
Vor 14 Jahren wurden in der EU noch etwa 400 Tonnen Quecksilber verwendet, mehr als das Vierfache von heute. Heute sind es nach Schätzungen allein in Deutschland immer noch zehn bis 15 Tonnen und Quecksilber kann in der Umwelt nicht abgebaut werden. Kein Wunder, dass die toxischen Umweltbelastungen in den letzten Jahrzehnten um das Zigfache zugenommen haben. Raubfische dürften vielleicht mehr als das 100-fache an Quecksilber haben wie vor 300 Jahren.
Die lebenden EU-Bürger tragen etwa 2 000 Tonnen von diesem giftigsten nichtradioaktiven Element mit sich rum. Alleine damit könnten Sie 666 666 666 Menschen sofort töten, wenn man von einer tödlichen Dosis von drei Gramm pro Mensch ausgeht. Amalgam befindet sich in der höchsten Gift- Kategorie von Sondermüll. Der einzige sichere Ort für die Aufbewahrung dieses Sondermülls scheint leider, bis jetzt nur der Mensch zu sein!
